CBCT Licensing SA – With Exam

CBCT Successful Completion SA – With Exam

Please fill below form

1 / 46

1) Identify the structure indicated by the arrow marked “A” in this x-ray tube and which material is it made it from? (1 mark)

 

2 / 46

2) In an x-ray tube, the focusing cup is made of …………….?  (1 mark)

3 / 46

3) During x-ray production, how much energy is converted into x-rays? (1 mark)

4 / 46

4) Which of the following is NOT a characteristic feature of TUNGSTEN TARGET used in X-Ray tube head? (1 mark)

5 / 46

5) Which radiation is produced when high-speed electrons pass close to, or strike, the nuclei of the target atoms (1 mark)

6 / 46

6) When an x-ray is produced by an interaction that results in characteristic radiation, an electron:  (1 mark)

7 / 46

7) If you increase the peak kilovoltage (kVp) in an X-ray tube, you are:   (1 mark)

i) Increasing the number of x-rays produced
ii) Increasing the kinetic energy of the x-rays produced
iii)  Changing the direction of the x-rays
iv) Increasing the penetrating ability of the X-rays

8 / 46

8) Which of the following is classified as a somatic stochastic effect of radiation? (1 mark)

9 / 46

9) Which among the following about somatic deterministic effects of radiation is false?  (1 mark)

10 / 46

10) Which of the following is a measure of the cancer risk to a whole organism due to ionizing radiation delivered non-uniformly to part(s) of its body?  (1 mark)

11 / 46

11) Identify the type of Radiation effect based on the following characteristic features  (1 mark)

  • It is the effect induced when body is exposed to any dose of radiation
  • There is no threshold dose
  • Severity of effect is not proportional to the dose of radiation

12 / 46

12) What is the SI Unit of Effective dose?  (1 mark)

13 / 46

13) According to Australian Radiation Protection and Nuclear safety agency (ARPANSA)’s recommendations, how much is the maximum dose limit for pregnant dental practitioner?  (1 mark)

14 / 46

14) In dosimetry, the Equivalent Dose takes into account: (1 mark)

15 / 46

15) As detailed in the ARPANSA guidelines, how much is the  permissible level (for general public) of radiation per annum?

16 / 46

16) As detailed in the ARPANSA guidelines, how much is the  permissible level (for occupationals) of radiation per annum? (1 mark)

17 / 46

17) How much is the minimum equivalent thickness of lead required for a protective lead apron? (1 mark)

18 / 46

18) Which among the following tissue is least sensitive to radiation? (1 mark)

19 / 46

19) Which among the following components in the X-ray tube helps to absorb the heat? (1 mark)

20 / 46

20) Which among the following doesn’t act as a filter in the X-ray tube? (1 mark)

21 / 46

21) A collimator in the X-ray tube is made up of? (1 mark)

22 / 46

22) Statement 1 – Radiographs to be advised only after taking detailed history, a thorough clinical examination and considering dental and general health needs of the patient

Statement 2 – You should place thyroid collar for patients who are undergoing OPG examinations  (1 mark)

23 / 46

23) The inverse square law states that  (1 mark)

24 / 46

24) Statement 1 – For OPG/Lat Ceph and CBCT, you should leave the room during exposure

Statement 2 – For intraoral Radiography – You should stand 6 feet (2 m) away from the primary beam at an angle of 90 to 135 degree. (1 mark)

25 / 46

25) Which among the following statement is false? (1 mark)

26 / 46

26) Statement 1 – Dentists who record panoramic radiographs need to take responsibility for all non-dental diagnosis or have them assessed by or referred to a DMF radiologist or radiologist

Statement 2 – Dentists who record large volume CBCT need to refer all data sets to Dentomaxillofacial radiologists/General radiologists for review, as they have the highest medicolegal risk.  (1 mark)

27 / 46

27) Which among the following is not a required characteristic for an ideal CBCT image for diagnosis? (1 mark)

28 / 46

28) Which among the following is false regarding a CBCT? (1 mark)

29 / 46

29) Which among the following statement regarding resolution of a CBCT image is false?

30 / 46

30) Identify the type of CBCT image. (1 mark)

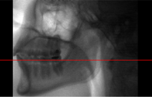
31 / 46

31) What does the red line represent? (1 mark)

32 / 46

32) Which among the following is false regarding a pixel and voxel in CBCT?  (1 mark)

33 / 46

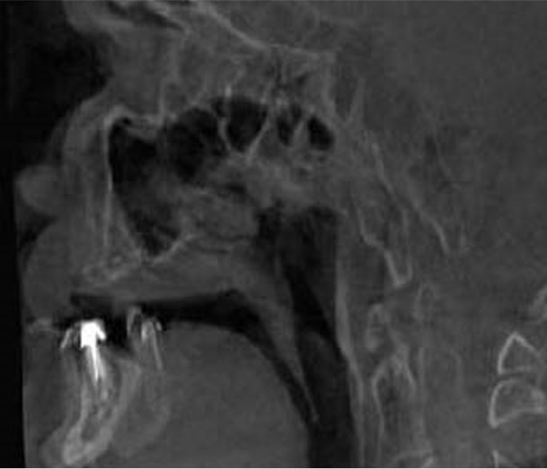
33) Identify the type of CBCT image. (1 mark)

34 / 46

34) Statement 1 – Every patient require a CBCT for diagnosis.

Statement 2 – It is not necessary to read the whole CBCT dataset but just the area of interest is sufficient.  (1 mark)

35 / 46

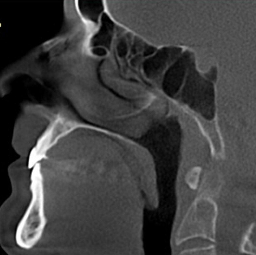
35) Identify the cone beam artifact indicated by 1 in this image? (1 mark)

36 / 46

36) Identify the cone beam artifact indicated by 2 in this image? (1 mark)

37 / 46

37) Identify the cone beam artifact indicated by 3 in this image? (1 mark)

38 / 46

38) Identify the error in this CBCT image? (1 mark)

39 / 46

39) Identify the artifact in this CBCT image? (1 mark)

40 / 46

40) Identify the artifacts indicated by the white arrows? (1 mark)

41 / 46

41) Identify the artifact indicated by the arrow (1 mark)

42 / 46

42) Identify the artifact indicated by the arrow (1 mark)

43 / 46

43) Statement 1 – Partial volume averaging happens when the selected voxel size of the scan is smaller than the object being imaged

Statement 2 – Partial volume averaging can be avoided by selecting small voxel (1 mark)

44 / 46

44) Statement 1 – CBCT equipment compliance testing should be done every year

Statement 2 – CBCT premises compliance testing should be done every 5 years  (1 mark)

45 / 46

45) Which among the below statement is FALSE regarding optimization of patient dose while taking a CBCT? (1 mark)

46 / 46

46) Do you give us permission to use your feedback for promotional purposes on social media?

Please provide feedback about this course.

Thank You

We will get back to you within 4 days of submission of your exam

A Certificate of successful completion will be emailed to you individually within 4 days of submission of your exam